
大人の矯正歯科のご相談は【神楽坂さいとう歯科・矯正歯科】まで
歯並びでこんな
お困りごとはありませんか
- 歯並びをキレイにしたい
- 口元の見た目をよくしたい
- かみ合わせのバランスが気になる
- 目立ちにくい矯正装置で治療したい
歯列矯正は、見た目を美しくするだけでなく、噛み合わせを改善し、食べやすさや話しやすさを向上させます。さらに、歯磨きがしやすくなることで、虫歯や歯周病予防にも効果があります。
もしこのようなお悩みやご希望がありましたら、当院までご相談ください。
当院の矯正治療について
(自由診療)
矯正治療はほかの治療と比べると、費用や時間もかかるものです。安心して治療に取り組んでいただけるよう、事前に丁寧なカウンセリングを行っておりますので、まずはお気軽にご相談ください。
当院がおこなう
矯正治療の種類

ワイヤー矯正
ただし治療を始めると簡単には取り外しができません。汚れが溜まらないように普段以上にしっかりと歯磨きをして、むし歯を防ぎましょう。

リンガルブラケット矯正装置
矯正装置が見えにくいため、人と話すときや食事の際にも周囲の目が気になりません。
装置の付け始めは、舌があたって違和感を覚えたり、発音がしづらくなったりしますが、徐々に慣れてくるのが一般的です。
また、リンガルブラケットは高水準の技術が求められるため、通常のワイヤー矯正と比べて費用は高くなります。

ハーフリンガル
上の歯の表側に装置が付いていないので、目立ちにくいというメリットがあります。さらにリンガルブラケットと比べて費用を抑えることができます。また、下の歯は表側に装着するため、発音に大きな影響を与えません。
矯正装置が目立つのは気になるけれど、費用は抑えたいという方におすすめです。
ただし、患者さまの話し方や笑い方によっては、矯正装置が露出してしまう場合もあります。

マウスピース型矯正装置
(インビザライン、アソアライナー)
薄くて透明な素材でできているため、装着時の違和感が少なく、目立ちにくい矯正装置で治療したいという方におすすめです。
食事や歯磨きの際は取り外すため、普段通りに食事を楽しめてケアもしやすいことが特徴です。
ワイヤー矯正に比べると対応する症例が限られているため、事前の検査で適応できるかを判断します。
※装着時間を守らないと歯が計画通りに動かない場合があります。
※完成物薬機法対象外の矯正歯科装置であり、医薬品副作用被害救済制度の対象外となる場合があります。
【入手経路、国内の承認医薬品等の有無、諸外国における安全性に係る情報】
- マウスピース型矯正装置(インビザライン)はインビザライン・ジャパンの株式会社の製品であり、インビザライン・ジャパン株式会社を介して入手しています。
- 国内にもマウスピース型矯正装置として医薬品医療機器等法(薬機法)の承認を受けているものは複数存在します。
- マウスピース型矯正装置(インビザライン)は1977年にFDA(米国食品医薬品局)により医療機器として承認を受けています。
- マウスピース型矯正装置(アソアライナー)は株式会社アソインターナショナルの製品であり、株式会社アソインターナショナルを介して入手しています。
- 国内にもマウスピース型矯正装置として医薬品医療機器等法(薬機法)の承認を受けているものは複数存在します。
矯正治療の手順
カウンセリング(30分)
精密検査(45分)
【口腔内写真、レントゲン、歯科用CT撮影】
お口の中とお顔の写真撮影と、歯や顎の骨の状態を確認するためのレントゲン撮影、また必要に応じて歯科用CTでの撮影も行います。【歯型の採取】
歯型を採取して歯のサイズや現在のかみ合わせの状態を確認します。【口腔内・顎・かみ合わせの検査】
むし歯や歯周病がないかを確認し、顎の骨やかみ合わせの状態もチェックします。診断・治療計画のご提案(30分)
治療方法が複数考えられる場合には、それぞれのメリットとデメリットをお話ししたうえで患者さまと一緒に治療方針を決定します。
矯正治療について、気になることがありましたらご相談ください。
初期治療
矯正装置の装着(60分)
定期通院
通院頻度:月1回(通院回数:約12~36回)、
矯正装置を装着したら、約1か月に1回の頻度で歯の動きの確認と矯正装置の調整を行います。
診療時間:30~45分、
治療期間:約1~3年
矯正装置の除去(60分)
保定装置の装着後も、数か月ごとに通院していただき経過を確認します。保定期間の目安は2年ほどです。
定期検診・メインテナンス
矯正治療の症例
※矯正治療症例は、Instagramでも
更新を行なっています。
▶︎
▼
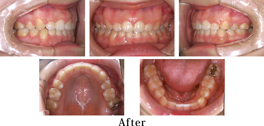
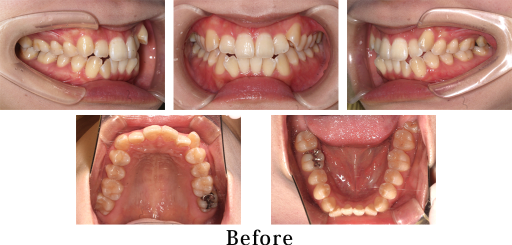
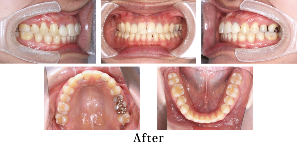
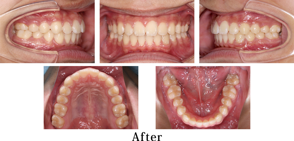
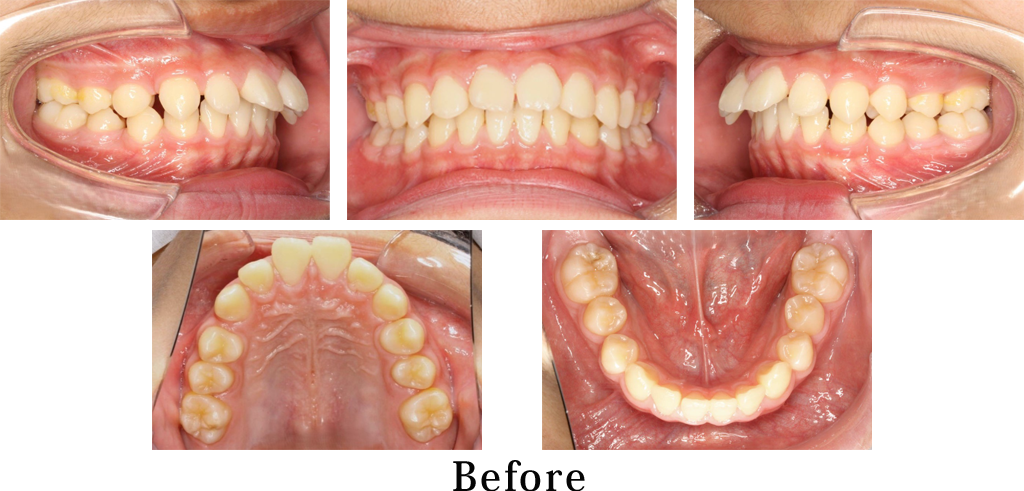
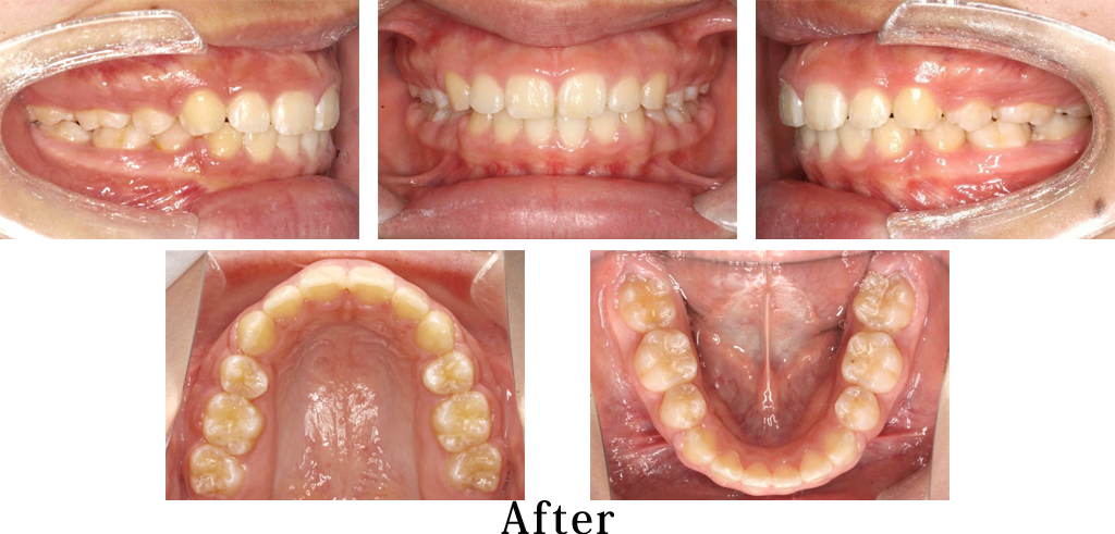
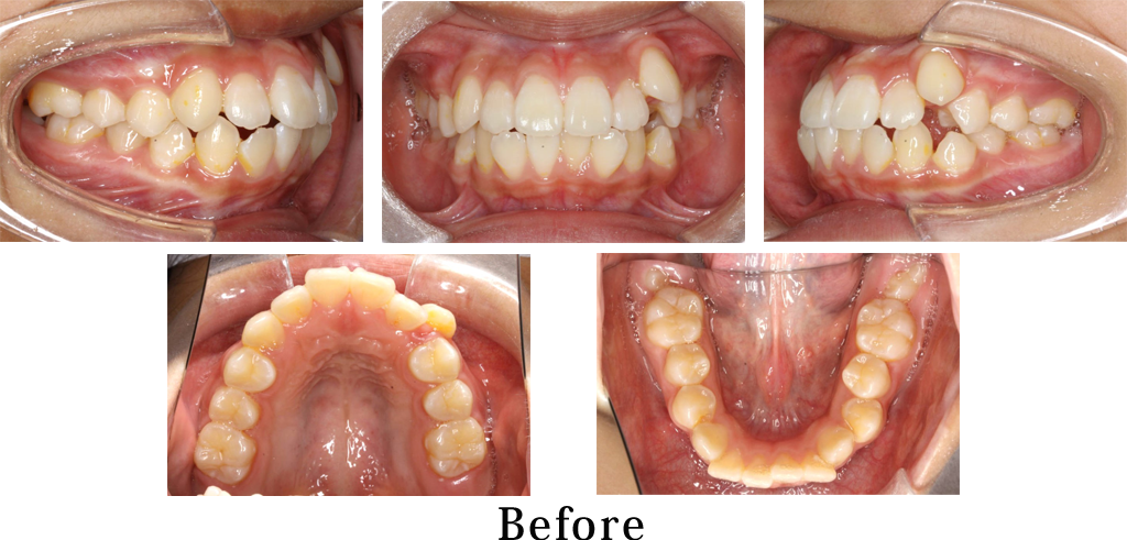
| 主訴 | 歯並びのデコボコ、口元の突出感 |
| 診断名あるいは主な症状 | 叢生 |
| 年齢 | 25歳 |
| 治療に用いた主な装置 | マルチブラケット装置、歯科矯正用アンカースクリュー |
| 抜歯部位 | 上下顎両側第一小臼歯(計4本) |
| 治療期間 | 2年2か月 |
| 治療費 | 935,000円(税込) |
| リスク・副作用 | 痛み、歯肉退縮、歯根吸収、歯髄壊死、治療後の後戻り |
▶︎
▼
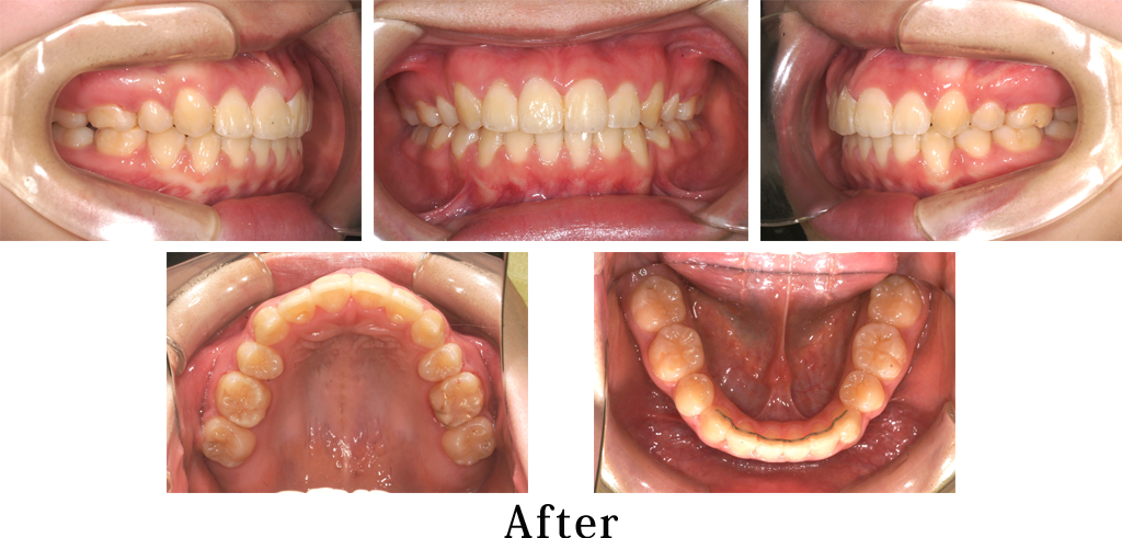
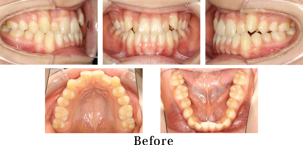
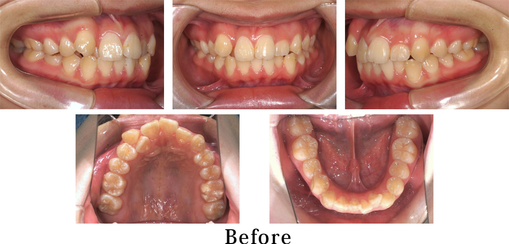
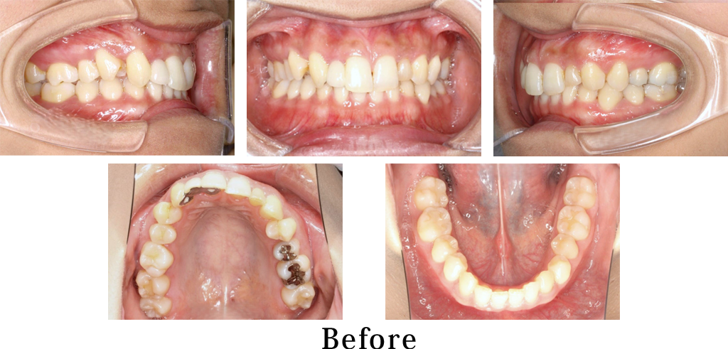
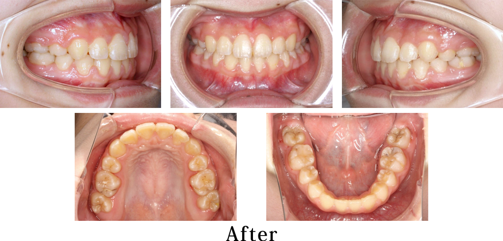
| 主訴 | 歯が重なっている、口元の突出感 |
| 診断名あるいは主な症状 | 骨格性上顎前突、叢生 |
| 年齢 | 21歳 |
| 治療に用いた主な装置 | マルチブラケット装置、ナンスのホールディングアーチ |
| 抜歯部位 | 上下顎両側第一小臼歯(計4本) |
| 治療期間 | 2年8か月 |
| 治療費 | 935,000円(税込) |
| リスク・副作用 | 痛み、歯肉退縮、歯根吸収、歯髄壊死、治療後の後戻り |
▶︎
▼
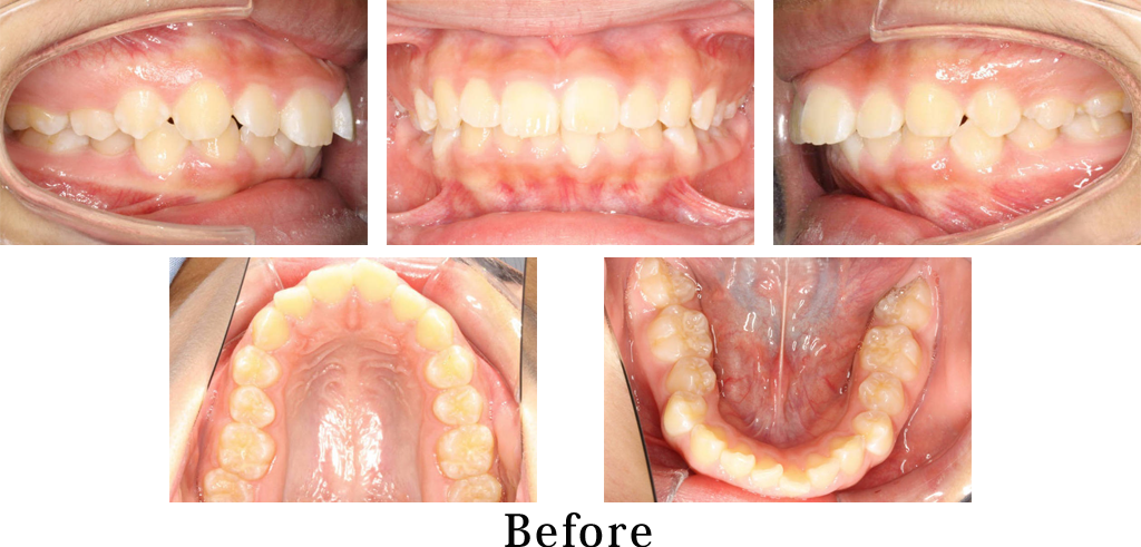
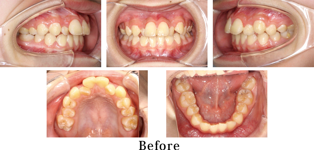
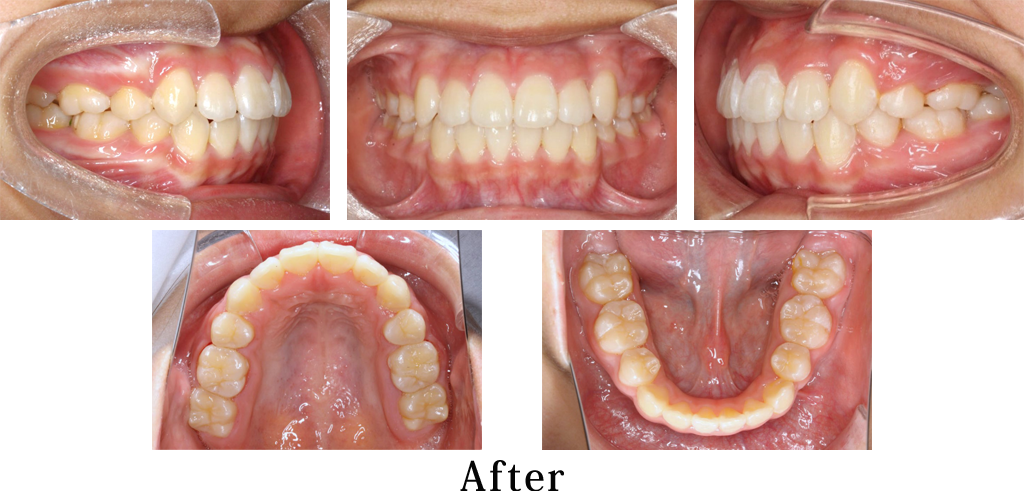
| 主訴 | 前歯の突出 |
| 診断名あるいは主な症状 | 歯性上顎前突、空隙歯列 |
| 年齢 | 13歳 |
| 治療に用いた主な装置 | マルチブラケット装置 |
| 抜歯部位 | 非抜歯 |
| 治療期間 | 2年8か月 |
| 治療費 | 935,000円(税込) |
| リスク・副作用 | 痛み、歯肉退縮、歯根吸収、歯髄壊死、治療後の後戻り |
▶︎
▼
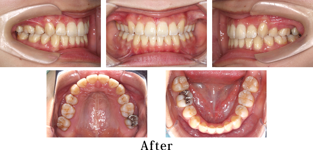
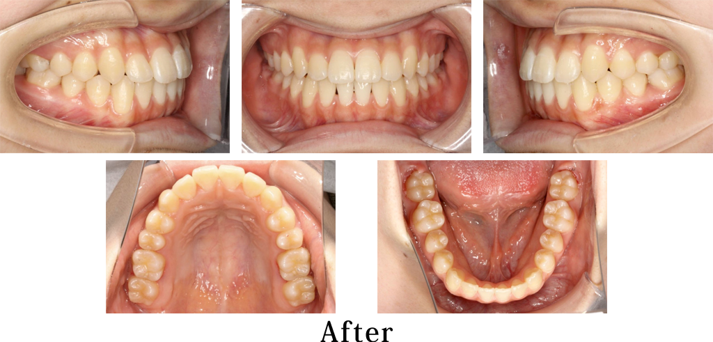
| 主訴 | 前歯の突出 |
| 診断名あるいは主な症状 | 歯性上顎前突、叢生、下顎両側側切歯の先天性欠如 |
| 年齢 | 12歳 |
| 治療に用いた主な装置 | マルチブラケット装置、ナンスのホールディングアーチ |
| 抜歯部位 | 上顎両側第一小臼歯(計2本) |
| 治療期間 | 1年8か月 |
| 治療費 | 935,000円(税込) |
| リスク・副作用 | 痛み、歯肉退縮、歯根吸収、歯髄壊死、治療後の後戻り |
▶︎
▼
| 主訴 | 前歯の突出 |
| 診断名あるいは主な症状 | 歯性上顎前突、過蓋咬合、上顎両側側切歯の先天性欠如 |
| 年齢 | 26歳 |
| 治療に用いた主な装置 | マルチブラケット装置、歯科矯正用アンカースクリュー |
| 抜歯部位 | 非抜歯 |
| 治療期間 | 3年2か月 |
| 治療費 | 935,000円(税込) |
| リスク・副作用 | 痛み、歯肉退縮、歯根吸収、歯髄壊死、治療後の後戻り |
▶︎
▼
| 主訴 | 歯のデコボコ |
| 診断名あるいは主な症状 | 骨格性上顎前突、叢生 |
| 年齢 | 12歳 |
| 治療に用いた主な装置 | マルチブラケット装置、ナンスのホールディングアーチ |
| 抜歯部位 | 上下顎両側第一小臼歯(計4本) |
| 治療期間 | 1年5か月 |
| 治療費 | 935,000円(税込) |
| リスク・副作用 | 痛み、歯肉退縮、歯根吸収、歯髄壊死、治療後の後戻り |
▶︎
▼
| 主訴 | 前歯の突出 |
| 診断名あるいは主な症状 | 骨格性上顎前突 |
| 年齢 | 14歳 |
| 治療に用いた主な装置 | マルチブラケット装置、歯科矯正用アンカースクリュー |
| 抜歯部位 | 上下額両側第一小臼歯 |
| 治療期間 | 2年1か月 |
| 治療費 | 935,000円(税込) |
| リスク・副作用 | 痛み、歯肉退縮、歯根吸収、歯髄壊死、治療後の後戻り |
▶︎
▼
| 主訴 | 歯のデコボコ |
| 診断名あるいは主な症状 | 叢生 |
| 年齢 | 23歳 |
| 治療に用いた主な装置 | マルチブラケット装置、ナンスのホールディングアーチ |
| 抜歯部位 | 上下顎両側第一小臼歯(計4本) |
| 治療期間 | 2年5か月 |
| 治療費 | 935,000円(税込) |
| リスク・副作用 | 痛み、歯肉退縮、歯根吸収、歯髄壊死、治療後の後戻り |
▶︎
▼
| 主訴 | 歯のデコボコ |
| 診断名あるいは主な症状 | 叢生 |
| 年齢 | 24歳 |
| 治療に用いた主な装置 | マルチブラケット装置、ナンスのホールディングアーチ |
| 抜歯部位 | 非抜歯 |
| 治療期間 | 2年 |
| 治療費 | 935,000円(税込) |
| リスク・副作用 | 痛み、歯肉退縮、歯根吸収、歯髄壊死、治療後の後戻り |
矯正の治療費について
矯正歯科治療は公的健康保険の対象外の
自由(自費)診療となります。
トータルフィーシステム
(総額固定料金制)
当院では、矯正治療開始前に治療費の総額を提示するトータルフィーシステム(総額固定料金制)を採用しています。通院ごとの再診料が治療費に含まれているため、治療期間によっ て金銭的負担が増えることがありません。
また、治療開始時に治療費の総額を把握できるため安心して治療を開始することができます。
トータルフィーのメリット
- 矯正治療費用が通院回数・治療期間に左右されない
- 通院のたびにお支払いをしなくてもよいので、お子さまの場合でも一人で通院が可能(大切なご説明の際には、保護者の方もご来院いただきます)
- 初めに費用の総額が決定しているため、ご家庭の支出の計画が立てやすい
トータルフィーに含まれる料金
- 矯正基本料金のほかに
- 通院ごとの再診料
- 矯正装置の費用
- 矯正治療後のリテーナー費用
- 矯正治療中・治療後の検査費用
- 治療後2年間のメインテナンス料
※初診の精密検査・診断料、治療後2年以降のメインテナンス料は含まれておりません。
また、以下の場合は別途費用が発生致します。
・取り外し式の矯正装置を紛失・使用できない程度に破損した場合の再作製費用
・患者さまのご都合により、一時的に矯正装置を撤去する場合
矯正治療にかかる費用
| 矯正治療開始前にかかる費用 | |
|---|---|
| 初診相談 | 0円 |
| 精密検査・診断 | 30,000円(33,000円 税込) |
※マウスピース矯正治療治療をご希望の方は、精密検査の
費用が+10,000円(44,000円 税込)になります。
※セカンドオピニオンをご希望の方(他医院にて矯正治療中の方)は、初診相談料5,000円(5,500円 税込)をいただきます。
| 矯正治療の費用 (トータルフィーシステム) |
|
|---|---|
| 表側ワイヤー矯正 (審美ブラケット) |
850,000円(935,000円 税込) ※ホワイトワイヤーご希望の場合、 870,000円(957,000 円 税込) |
| マウスピース型矯正治療 (インビザライン) |
900,000円(990,000円 税込) |
| ハーフリンガル (上顎は裏側ワイヤー・下顎は表側ワイヤー) |
1,200,000円(1,320,000円 税込) |
| 部分矯正治療 | 300,000円〜(330,000円〜 税込) |
| 矯正治療終了後 | |
|---|---|
| 治療終了2年目以降のメンテナンス費用 | 3,000円(3,300円 税込) |
各種クレジットカードが
ご利用いただけます
分割払い*やデンタルローンにも対応しております
*矯正治療終了時までにお支払いいただきます
医療費控除

医療費控除とは

医療費控除の対象

医療費控除の内訳
矯正治療に伴う一般的な
リスクや副作用について
- 最初は矯正装置による不快感、痛みなどがあります。数日間〜1、2週間で慣れることが多いです。
- 歯の動き方には個人差があります。そのため、予想された治療期間が延長になる可能性があります。
- 装置の使用状況、顎間ゴムの使用状況、定期的な通院など、矯正治療には患者さまの協力が非常に重要であり、それらが治療結果や治療期間に影響します。
- 治療中は、装置が付いているため歯が磨きにくくなります。
- むし歯や歯周病のリスクが高まりますので、丁寧に磨いたり、定期的なメンテナンスを受けることが重要です。
- また、歯が動くと隠れていたむし歯が見えるようになることもあります。
- 歯を動かすことにより歯根が吸収して短くなることがあります。また、歯ぐきがやせて下がることがあります。
- ごくまれに歯が骨と癒着していて歯が動かないことがあります。
- ごくまれに歯を動かすことで神経が障害を受けて壊死することがあります。
- 治療途中に金属などのアレルギー症状がでることがあります。
- 治療中に「顎関節で音が鳴る、顎が痛い、口が開けにくい」などの顎関節症状が出ることがあります。
- さまざまな問題により、当初予定した治療計画を変更する可能性があります。
- 歯の形を修正したり、かみ合わせの微調整を行ったりする可能性があります。
- 矯正装置を誤飲する可能性があります。
- 装置を外す時に、エナメル質に微小な亀裂が入る可能性や、被せ物(修復物)の一部が破損する可能性があります。
- 装置が外れた後、保定装置を指示通り使用しないと後戻りが生じる可能性が高くなります。
- 装置が外れた後、現在のかみ合わせに合った状態の被せ物(修復物)やむし歯の治療(修復物)などをやり直す可能性があります。
- 顎の成長発育によりかみ合わせや歯並びが変化する可能性があります。
- 治療後に親知らずが生えて、凹凸が生じる可能性があります。
- 加齢や歯周病などにより歯を支えている骨がやせるとかみ合わせや歯並びが変化することがあります。
- その場合、再治療などが必要になることがあります。
- 矯正治療は、一度始めると元の状態に戻すことは難しくなります。